ブログ
2015/05/31
ブログ
アマルガムの現在
今日は日曜日ですが、子どもの付添いで千里中央に来ています。
少しPCで橋休め的なお話を作っているのですが、
FedExとNORTHWEST AIRLINEのロゴの秀逸さについて書いています。
FedExはExの間に「→」が背景に隠れていますし、
NORTHWEST AIRLINEは二つの隠れメッセージがあります。
『▲ 』と『N 』で『W』になりますし、
円をコンパスに見立てると『▲』が北西(Northwest)を示しています。
ロゴに隠されているものがわかると本当にデザインが素晴らしいと思ってしまいます。
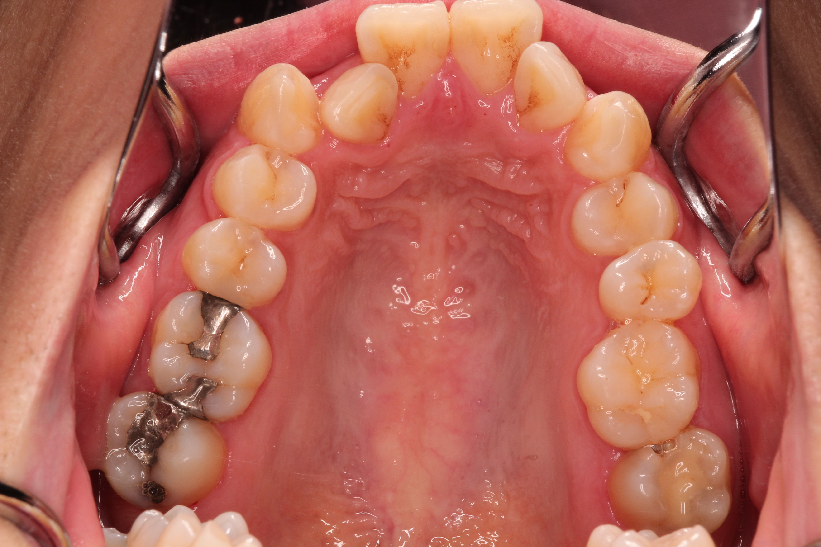
さて、今日はアマルガムについて書きたいと思います。
・・ですが、よしなか歯科クリニックでは使用しておりませんし、おそらく日本でも取り扱う歯科医院も少なくなってきていると思います。

この理由の大きな一つとして、大学の実習でも教えられなくなっているということがあります。
私は行いましたが、クリニック内の私を除いた先生らはやっていないと思います。
そのため、取り扱いということ自体がまず廃れてきたということがあります。
別の理由として、金属色が好まれなくなってきたということもあるでしょう。
またその他の理由として、下でも書く“水銀”というキーワードで敬遠される方が多いということもあります。
そして、代価の材料が開発され、その性状も向上しているということもあります。
アマルガムとは、銀や錫(すず)、銅、亜鉛の粉末を常温で液体金属である水銀と
混ぜ合わせることで化学反応がおき、結晶化したものです。
アマルガムを推奨される先生もおられ、利点もあることはあります。
その点も理解した上で使用するか、使用しないかということを決定していくべきであると思います。
少しこのあたりを掘り下げていきたいと思います。
RECOMMEND
関連記事


