ブログ
2014/11/18
ブログ
上の奥歯を抜くときには上顎洞に注意
おはようございます。
11月も後半になりました。
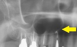
レントゲンではこの線が上顎洞の最下部として写ります。人によっては鼻の穴と通じる上顎洞が大きい人もいて、上の奥歯の根がとびだしている人がいます。
状況によっては歯を抜くことで、口と鼻がつながる(穿孔)可能性も出てきます。
もしそうなってしまった場合は閉鎖を行う必要があるのですが、これをほっておくと鼻と口が交通したままに
なることがあります。
ルイ14世、といえば朕は国家なり の絶大な権力を持っていた王ですが、14世も歯を抜く際に交通してしまった
そうです。しかも当時は閉鎖を行うという処置などなく、そのままでしたので、食事をしたら食べ物が口を通じて鼻に入り悪臭がしていたそうです。
現在であれば、閉鎖術を行うか、(別の原因で大きな穴がある場合は)栓塞子というもので仕切りを作るということをします。
レントゲンでは上顎洞の大きさ本当に人それぞれで大きなひとであれば糸切り歯まで広がっている人も見たことがあります。
実際の臨床では(上顎洞への穿孔)ほとんどないのですが、常に目を光らせています。


