ブログ
2015/03/10
ブログ
入れ歯について知ろう−その23−入れ歯の審美性(歯ぐき)
入れ歯の審美性というものをお話します。


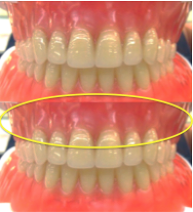
歯の並べる位置が決定したら、次は歯肉形成を行います。
いうなれば、より入れ歯を本物っぽくするための工程で、人工歯の直下に
歯の根があるかのように凹凸をつける操作です。
蝋義歯と言われるように、人工歯の直下の赤い部分は蝋(ワックス)です。
熱で自由に溶かし固めることもできるので、何度でも意図した形態に修正できると
いうのが利点です。
私たちの口の中は歯の根がある部分とない部分で凹凸があって、根がある部分は
膨れて(凸)いるのに対し、根と根の間の部分は凹んでいます。

青線あたりを境界に凹みが現れ、波線のようになります。
この凹凸感を再現することでより本物らしい義歯になります。

ただし、あまり凹凸をはっきりさせると、今度は食べ物が停滞しやすくなることから、
見た目にあまり関係しない奥歯はそれほど凹凸をつけないようにします。
審美と機能の棲み分けといったところですね。
義歯の清掃がきき手の不自由などで難しい場合は、あまり細やかな表現は避けるべきだと
考えます。
何事も状況に応じて、ということですね。
歯肉の形のをこのように作っていくのには審美(見た目)のこともありますが、
入れ歯の維持安定を高めること
口腔前庭への食物の侵入を防ぐこと
発音に関与すること
も目的があります。え、この赤い部分ってそこまで大事なの?
ということで明日は他の当たりを書いていきたいと思います。
RECOMMEND
関連記事


