ブログ
2015/04/03
ブログ
入れ歯について知ろう−その43−部分入れ歯にも簡単なものと難しいものがある3
入れ歯の難易度を決定するもう一つの重要な要あるKennedy(ケネディ)の分類、

今日はこれについて説明します。
以前にもお話した通り、片持ち梁、あるいは飛び込み板のような状態の欠損が
最も難しくなります。一方歯と歯に囲まれた欠損であれば難易度は下がります。
これを分類したのがKennedyの分類で、大きく4つに分けられます。
Eichnerの分類は一口腔での分類ですが、Kennedyは上下それぞれで分けます。
Kennedy Ⅰ級:両側遊離端欠損
Kennedy Ⅱ級:片側遊離端欠損
Kennedy Ⅲ級 :中間欠損
Kennedy Ⅳ級 :前方遊離端欠損(正中をまたぐ中間欠損)
と分けます。ここでいう遊離端欠損というのは、残存歯の後ろが全て欠損と
なっている状態のことを言います。
これに1類、2類と中間欠損が増えると亜類がついたり、親知らずがあった場合
義歯の支台歯として使用するかなどでApplegateが法則を追加したものがあるため、
実際はやや複雑になっているのですが、簡単には上記のもので理解できると思います。
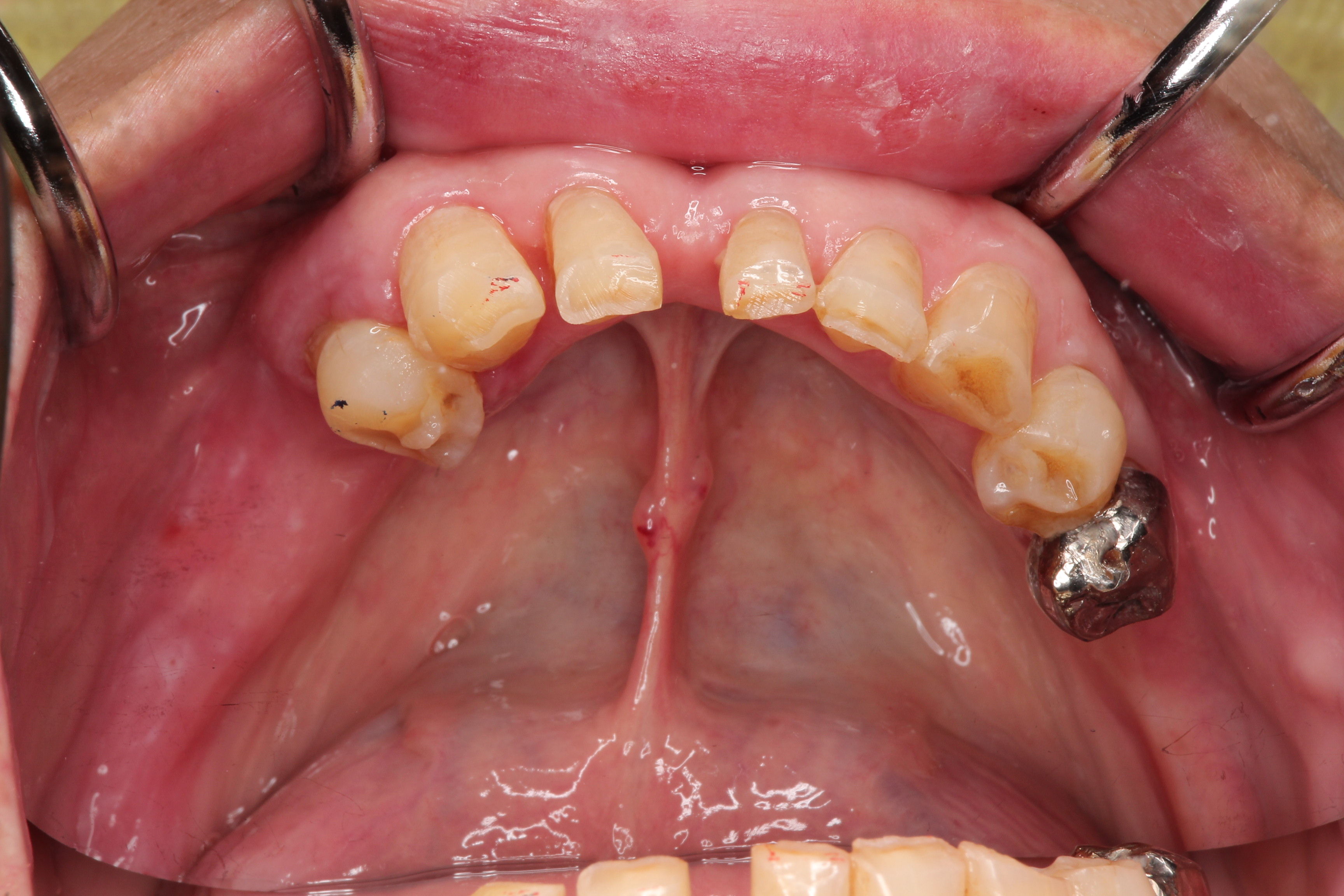
こちらはそれぞれの残存歯の後方部が両方ともないためKennedyⅠ級となります。
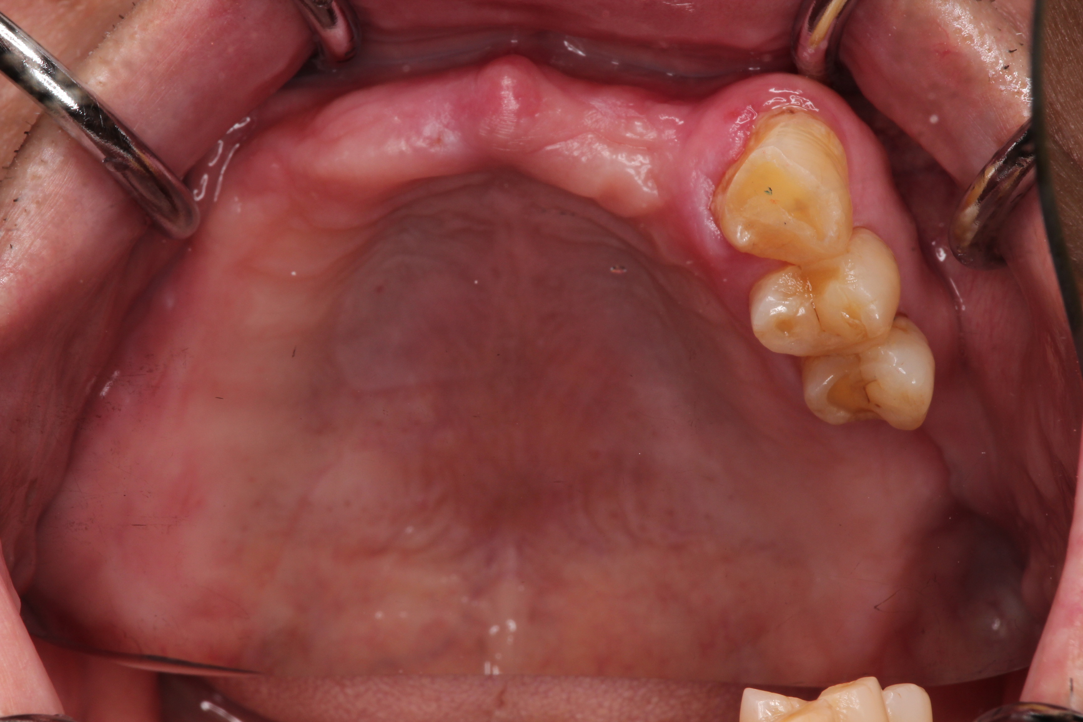
こちらも正中をまたいでいますが残存歯の後方部が両方ともないのでKennedy I級です。

こちらは歯と歯に囲まれた欠損(中間欠損)となりますのでKennedy Ⅲ級となります。
Kennedyの欠損分類とEichnerの欠損分類、そして咬合力と残存歯の状態で将来的な難易度
が予測するのですが、その中ですれ違い咬合と言われるものは特に難しいと言われています。
次回はそれについてお話したいと思います。
RECOMMEND
関連記事


