 
                ブログ
2015/09/22
                            ブログ
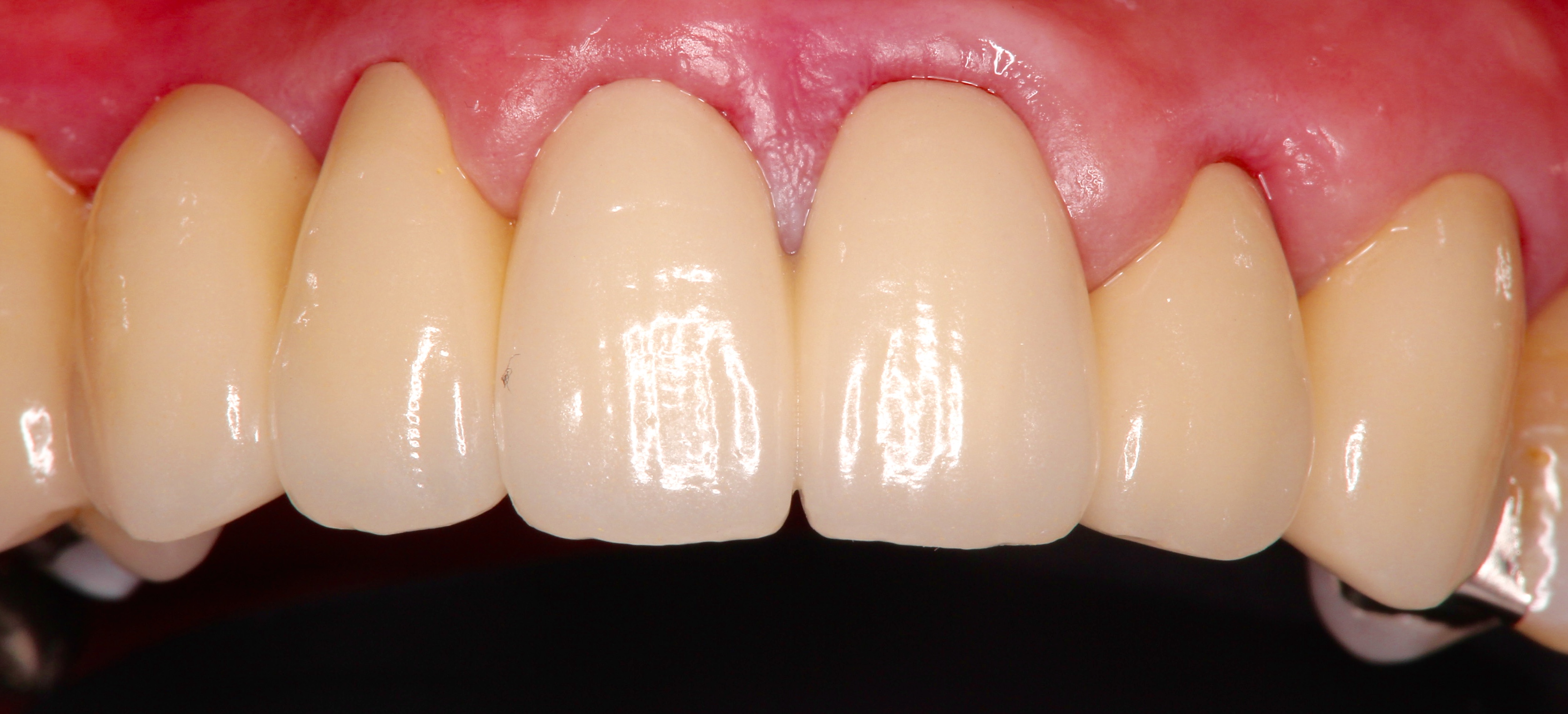
                            プロビジョナルレストレーション
                                        おはようございます。
                                        
                                        
                                        
                                            
 
                                        
                                        
                                            
                                        
                                        
                                        
                                        
                                        
                                        
                                            
                                        
                                        
                                        
                                        
                                        
                                        
                                        
                                        
                                        
                                        
                                        
                                        
                                        
                                              
                                昨日は河内長野にある関西サイクルスポーツセンターに行ってきました。
                                        昔に比べて随分と楽しいアトラクションが増えたなという印象で、かなり来場者が
                                        多かったです。待ち時間も結構たくさんあったのですが、
                                        
 
                                        
あとから気づいたのですが、サイクルセンターなのに自転車系に乗っている写真が一つも
                                        ありません。
                                        同じ大阪でもかなり遠いですが、オススメです。
                                        −−
                                        同じ仮歯でもテンポラリークラウンとプロビジョナルレストレーション(プロビジョナルクラウン)
                                        という呼称で分けることがあります。
                                        テンポラリークラウンは先日もお話した通り、支台歯とその周囲の環境を維持するという目的が
                                        強いのですが、プロビジョナルレストレーションは最終的な被せもの(クラウン)の形態を
                                        シミュレーションするという目的が強いのが大きな違いです。
                                        そのためテンポラリークラウンよりも長期にわたって装着する傾向にあります。
                                        そしてこのシミュレーションをした歯の形態をそのまま参考に製作します。
                                        状況によって、強度の強い材質にすることもあります。
                                        

 
                            

