ブログ
2015/12/12
ブログ
インプラントについて知ろうーその39 ソケットリフトー
今日は比較的暖かいですね、全国的に異常気象であったようでした。
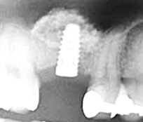
上顎洞が大きくなってきたのであれば、それを補填してあげればいい、というのが考え方です。
ソケットリフト法はインプラント埋入部から上顎洞底粘膜を引き上げて
その部分に骨の代価となる骨補填材を隙間に填入していく方法です。
この場合、インプラントは骨内に完全に埋入されるものではなく、初期固定が弱くなることが多いため、
(上顎骨は下顎骨に比較して弱いということや直接骨と接触するインプラント面積が少ないことなど)
通常のインプラント手術と比較して骨結合を待つ時間が長くなることが特徴ですが、
次回にお話をするサイナスリフト法よりは創面が小さいという点で侵襲は大幅に少なく、
術後の腫れが比較的少ないということが特徴です。
一方盲目下で行う(上顎洞底粘膜を挙上して骨補填材を填入する)ため、非常に繊細な手術が
必要となります。

RECOMMEND
関連記事


