ブログ
2016/02/05
ブログ
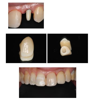
ブラックトライアングル
若い頃は歯ぐきがしっかりしていたのにだんだんと歯ぐきが下がってきて
しまったという方も多いのではと思います。
この歯と歯、歯ぐきとの間にできる隙間をブラックトライアングルと私たちは
呼びます。
この隙間が目立つと見た目的にも気になると言われるようになります。
若々しく見えるようにしようと思うとこれらをカムフラージョする必要があります。
その前にこの歯肉の退縮はどうやっておこるのでしょうか?
Tarnowの論文で歯と歯と接触する部分(いわゆるコンタクトポイント)からその直下の
骨までの距離が5mm以下であればほぼ100%歯間乳頭が満たされるということが
発表されました。
この距離が長くなると徐々に歯間乳頭は満たされず、7mm以上あれば約20%のみしか
歯間乳頭が満たされたものがないということになりました。
裏を返して言うと、
骨頂から5mmまでは歯間乳頭が再生される
ということになります。
それ以上の部分をなんらかの形でカムフラージュをすればよいことになります。
一つは補綴物で歯の形態を少し変えます。
他にも歯の形態を修正し、矯正治療を行う方法もあります。
症例集のこちらやこちらもブラックトライアングルを目立ちにくくしたものの一つです。
RECOMMEND
関連記事


