ブログ
2016/03/27
豆知識,日常
ホワイトニングキャンペーンのお知らせ
おはようございます。
多くの皆さまに当クリニックを選んで頂き、ありがとうございます。
まもなくよしなか歯科クリニックはおかげさまで5周年を迎えることになりました。
日頃の感謝も込めて、ホワイトニングキャンペーンを行いたいと思います。

4月〜5月の期間(4月1日〜5月30日)で、
先着20名様に
ホワイトニングを50%OFFでご提供致します。
ホームホワイトニング・オフィスホワイトニングともに適用されます。
ホワイトニングの効果には個人差があります。
施術前にスクリーニング検査を行い、適正と判断された方のみとなります。
また、施術前にクリーニング・治療が必要となる場合があります。
また、ホワイトニングってどうなのかな、とご興味を持たれている方に
無料シミュレーションを行います。
口腔内写真、あるいは歯が見えるお顔の写真(顔貌写真)を撮影させて頂くことで
ホワイトニング施術後の口元との比較写真をご提供致します。
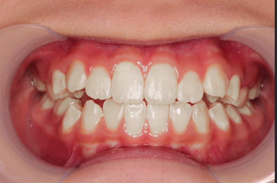
例えば、

こちらの口腔内であれば


ホワイトニングの効果が弱い場合、強い場合は
これらのようになります。
写真の加工のために少しお時間を頂くため、
次回来院時にお渡しすることになりますが、
是非お声をおかけ下さい。
(あくまでシミュレーションですので
効果が約束されるものではありませんので
ご了承下さい)
よしなか歯科クリニック 院長 吉仲暢子
歯科衛生士・ホワイトニングコーディネーター 土村仁美
RECOMMEND
関連記事


